top of page
กิจกรรมที่กำลังจะมาถึง
ยังไม่มีอีเวนท์ในขณะนี้
งานวิจัย

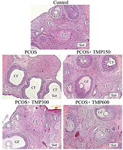
Restorative effects of Thai Mucuna pruriens seed extract on reproductive, hormonal, and fertility impairments in letrozole-induced PCOS rats
S. Bunsueba, C. Taotoa, S. Tongpana, C. Chaimontria and S. Iamsaard
3 เมษายน 2569

Calcaneal Spurs in Thai Skeletons: High Prevalence and Population-Specific Patterns for Forensic Identification
Phatthiraporn Aorachon, Tarinee Sawatpanich, Suthat Duangchit, Chanasorn Poodendaen, and Sitthichai Iamsaard
9 มีนาคม 2569

Ultrasound assessment of tibial nerve cross-sectional area in diabetic peripheral
neuropathy in the Thai Population
Athikhun Suwannakhan, Sittichai Khamsai, Thongchai Pratipanawatr, Woranan Kirisattayakul, Waranon Munkong, Nongnuch Prab Na Sak, Waritsara Phonsena, Sitthichai Iamsaard, Thanyaporn Senarai
25 กุมภาพันธ์ 2569
bottom of page






